Internist Misses the Diagnosis of Acromegaly
Updated on
Case Overview
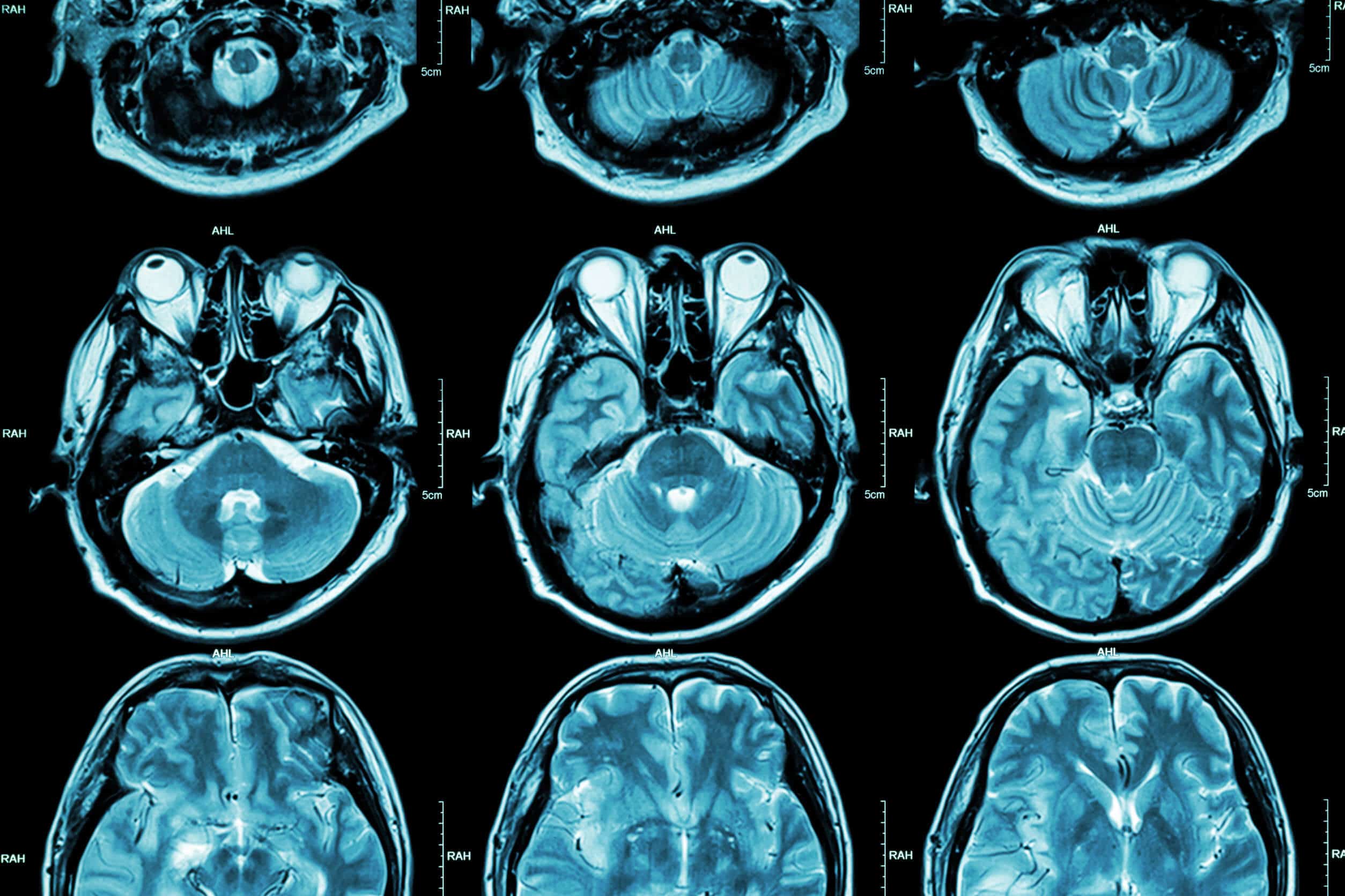
This case involved a fifty-one-year-old male with a twelve year delay in the diagnosis of acromegaly. The patient’s medical history included diabetes, two knee replacement surgeries, and significant dysmorphic facial features. Some of those features included an enlarged tongue, increased teeth spacing, and enlarged skull bones. Additionally, the man experienced chronic headaches unresolved by medication. During fifteen years of established care with his internist, no diagnosis of acromegaly was ever made. The patient was very self-conscious about his appearance and developed depression and anxiety over the last two years. He was especially displeased with difficulties achieving an erection with his wife. His interest in sex had also declined. Most concerning to the patient was that his blood glucose levels remained elevated regardless of good compliance with his diabetes medications. The patient was never referred to a specialist, nor was he ever spoken to about considering other less medically focused options such as sex therapy. One day, the patient developed a severe headache and loss of peripheral vision, which warranted a visit to the local emergency department. The hospital ordered an MRI of his brain, revealing a pituitary adenoma. To confirm the diagnosis, an IGF-1 level was ordered. Subsequently, a diagnosis of acromegaly was made.
Questions to the Internal Medicine expert and their responses
Did the internist work up this patient's complaints properly, and, if not, what measures should have been taken to establish proper care?
The internist properly diagnosed diabetes in this patient; however, he was unable to properly manage it. He should have either investigated other causes of diabetes or referred him to an endocrinologist. If he chose to manage the patient on his own, he should have ruled-out the diagnosis of acromegaly as a cause of uncontrolled diabetes. The single best test used to diagnose acromegaly is insulin-like growth factor 1 (IGF-1). If the results of IGF-1 are unequivocal, serum growth hormone (GH) should be measured. Another important test ordered for the diagnosis of acromegaly is an oral glucose tolerance test. Patients with acromegaly will fail to suppress serum GH levels following the administration of glucose. Besides these screening modalities, patients will present with physical features that are very indicative of acromegaly. These would include enlarged hands and feet, enlarged tongue, teeth spacing, enlarged jaw and skull bones, coarsening of facial features, and sexual dysfunction. Acromegaly is usually due to a pituitary adenoma, which is a neoplasm of the pituitary gland that produces excess levels of growth hormone. This finding can be seen in MRI. This enlargement can cause headaches and peripheral vision loss in patients. Pharmacologic treatment of acromegaly usually involves octreotide, a somatostatin analog that suppresses growth hormone levels. If the adenoma grows to a larger degree or the octreotide fails to work, the patient will require transsphenoidal removal of the adenoma.
About the expert
This expert is board certified in internal medicine and endocrinology. She was trained at major medical centers in the United States. She is a member of prestigious general medicine and endocrinology societies and continues to pursue her research interests while remaining committed to her clinical duties. She is a respected clinician at a major medical university.
E-006824
Specialties:
Subscribe to our newsletter
Join our newsletter to stay up to date on legal news, insights and product updates from Expert Institute.
Sign up nowFind an expert witness near you
What State is your case in?
Subscribe to our newsletter
Join our newsletter to stay up to date on legal news, insights and product updates from Expert Institute.


